お子様の診療

CHILDREN'S DENTAL TREATMENT

当院では15歳以下のお子さんをUnder15と呼び、
小児歯科の対象としております。

歯が生えてくるのは生後6か月前後と言われており、2歳半ころ乳歯が生えそろいます。
6歳前後で永久歯との生え変わりが始まり、第1大臼歯(6歳臼歯)が生え始めます。
12歳ごろすべての歯が永久歯に生え変わり、第2大臼歯(12歳臼歯)が生えてきます。
 
歯の生える時期は、あくまで目安で、個人差があります。
そう、お口の中は、歯の生え方だけでも個人差が大きく、成長とともに目まぐるしく変わっていきます。

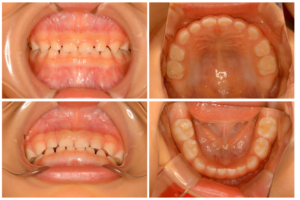
当院では1年に一回、お口の中の写真を撮影しております。
定期的に記録を残すことで、その後の成長の予測を立てやすくなるのです。
必要であればレントゲン写真撮影も行います。

毎年写真を撮るたびに成長がわかるので、喜ばれています。

15歳以下は体の成長はもちろん、心の成長も目まぐるしい時期です。
一人ひとりの発達や、個性に合わせて、お口の健康の大切さを理解してもらい、
自分のお口のお手入れ方法を、身に着けていきます。
 
当院の歯科メンテナンスでは
むし歯予防
歯周病予防
そして
歯並び予防 にも取り組んでいます。(詳しくは赤ちゃん歯科へ)
 
自立していく子どもたちを見守る小児歯科でありたいと考えています。
 
 
・・・とはいえ、大脳新皮質の発達が未熟な4歳以下のお子さんに言って聞かせるのは難しい面もあります。
まずは来ていただいて、歯医者さんは怖くない、ダイセー歯科クリニックは楽しいところだと知ってもらうことから始めています。

診療時間より少し早めに来ていただいて、小児待合室で遊んだり、診療台の上にモニターを設置しているので、診療中に好きなDVDを見ることができます。

診療後にはお楽しみのガチャガチャができる!と、楽しみに通院しているお子さんがたくさんいらっしゃいます♪
(2020年4月より、新型コロナウィルス感染症対策のため、小児待合室の絵本やおもちゃ、ガチャガチャは撤去しています。診療室内で小さなご褒美をお渡しし、出来る限り待合室の滞在時間は短くなるように努めております。ご了承ください。)

こどものはならび治療

当院は、常勤歯科医師である院長が こどもの歯並び治療を行っております。
 

● MFT(口腔周囲筋機能訓練)・姿勢指導を中心とした機能矯正

ムーシールド・プレオルソ・T4Kといった既製品の他、オーダーメイドのVkids・咬合挙上板や拡大床のような可撤式装置・様々な固定式装置などを使い分けて、機能にアプローチしながら成長を助ける矯正歯科治療を行っています。
 

マウスピース矯正

インビザライン・Smartee・ASOアライナーのお取り扱いがあります
 

マルチブラケット矯正

主に、生体にやさしいKBTブラケットを使用します
 

萌出を助ける矯正(開窓・けん引術)

なかなか歯が生えてこないときに、骨から引っ張り出して、噛めるように並べる治療です
 
お子様の状態(成長・発達・性格・生活)に適した治療法をご提案いたします。
詳しくはお問合せください。

おとなのはならび治療

おとなの歯並び治療は、複数の矯正歯科専門医の指導・監修のもと、常勤歯科医師の院長が担当いたします。
 

● マウスピース矯正

インビザライン・Smartee・ASOアライナーのお取り扱いがあります
 

マルチブラケット矯正

当院は生体に優しい(歯槽骨・歯根吸収の少ない)改良型ベッグ(KBT)をベースに、エッジワイズ法、ストレートワイヤー法、MEAWなど、ケースに応じて必要な治療法を柔軟に組み合わせた矯正歯科治療を行っています。
 

部分矯正

一番奥の歯が倒れている場合、その歯だけを起こす矯正治療を行うことがあります。
また、被せものを入れる前に、適切な噛み合わせに改善するために、部分的な矯正歯科治療を行うことがあります。
 

当院の受診がはじめての方へ

ご予約はお電話(025-373-3883)にてお願いいたします。
電話で初診予約
 
通院中の患者様は診察券アプリからのご予約が便利です。お急ぎの場合は診療時間内にお電話(025-373-3883)ください。
 
診察券アプリ、Web予約なら診療時間外でも、ご予約をお取りすることができます。
 
初診時の持ち物などは、当院の受診が初めての方へをご確認ください。
 

診療日のお知らせ